skip to main content

Total Shoulder Replacement

A shoulder replacement aims to provide pain relief and to give you a shoulder that moves well enough for you to perform daily activities. Shoulder replacement surgery is performed under general anaesthesia and a nerve block.  The average hospital stay is two or three days.  An incision is made over the front of your shoulder. Your contracted soft tissues are released to improve range of motion and your worn out joint surfaces are replaced with precision engineered metal and plastic implants. 

Anatomic Total Shoulder Replacement

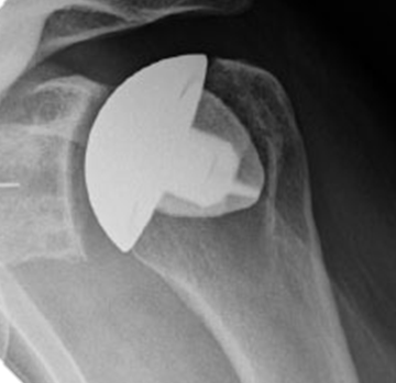
If your rotator cuff tendons are in good condition, your surgeon may well recommend anatomic total shoulder replacement. In this procedure, your damaged joint surfaces are removed and ‘replicated’ with metal and plastic implants that are tailored to mimic your own anatomy.  Your rotator cuff tendons, which must be intact for this operation to function well, are preserved. The socket side on the shoulder blade is made of medical grade polyethylene (a special hard-wearing plastic) that is fixed into your bone using pegs and a small amount of bone cement.  The humeral side has a very highly polished surface and is made out of cobalt chrome (a hard-wearing metal alloy) or occasionally ceramic.  The humeral implant is either fixed using very short roughened fins that grip the bone in the upper arm bone (stemless), or by the use of a stem that grips inside the canal of your arm bone. 

 

Anatomic total shoulder replacement  - metal 'stemless' humeral head and plastic socket (therefore not seen easily on Xray)

Shoulder Hemiarthroplasty (Half a shoulder replacement)

For some patients, a partial shoulder replacement may be a good option as it takes about 30 minutes less to complete.  The functional improvement may be less than for a total shoulder, but most patients still enjoy good pain relief.  

The choice of what type of surgery to have will be governed by your health, your anatomy, your age and your functional demands and, where possible, by your preference. Do ask Mr Granville-Chapman to discuss the options for your shoulder with you. 

What is my recovery after shoulder replacement surgery?

You will wake up with a sling and your arm will still be numb. We will help you achieve pain control as your nerve block wears off over the next 12-24hrs – sometimes this requires in-patient medication for a day or two after your surgery. You will need a shoulder X-ray and a blood test the day after your operation. Your physiotherapist will go through your rehabilitation plan with you.

Most patients can go home on day two after surgery. Please keep your wound dry and covered with a dressing for 12 days. 

You will come out of your sling between four and six weeks and gradually increase your exercises. Strengthening will begin at three months. The period of protection in a sling is important to protect the repair of your subcsapularis tendon (one of the rotator cuff muscles).  This tendon has to be cut during your surgery to gain access to your joint.  It is carefully repaired, but it needs to become strong before it can be loaded heavily.  Healing of this muscle is vital if you are to enjoy the best possible outcome from your operation. 

Patients vary in their symptoms after surgery, but in general you can expect to return to:

Office work after three or four weeks (in a sling)

Light household activities after eight to ten weeks

Heavier activities may take 16-24 weeks

Driving will probably take eight weeks..

How successful is a total shoulder replacement?

Overall, about 85% of patients are very happy with the outcome of their shoulder replacement.    They are cured of their constant aching pain, grinding and stiffness in their shoulder. About 10% of patients will feel that, while their shoulder is better than it was before surgery, they still experience significant pain or limited function.  One patient in twenty (5%) will feel they have either not benefited, or they have been made worse by their surgery: these unfortunate few are often those who have suffered  a complication. 

How long will my shoulder replacement last me?

The ideal joint replacement functions well for the rest of your life. However, all joint replacements will eventually wear out or loosen. The younger you are when you have surgery, the greater your chance of your replacement wearing out.  For anatomic shoulder replacements, 90% will last 10 years and many will last much longer than this.  Hemiarthroplasty can last a long time, but in active people, the implant tends to erode the uncovered socket over time.  As this progresses, pain and loss of function can return.  Most hemiarthroplasties will last 8 years before needing revision. 

What can go wrong during shoulder replacement surgery?

Shoulder replacement surgery is major surgery a bit like a hip replacement and some patients unfortunately suffer complications. General risks of surgery include:

- Anaesthetic problem (1 in 1000) - significant or life threatening problems with your heart, lungs, brain or kidneys are very rare with modern planned surgery.  

- Blood Clot (1 in 500). You will be given stockings to wear and injections during your admisssion to minimise this risk.

- Infection (approx. 2%) . Whilst we undertake every precaution to minimise the risk of infection happening to you, the risk cannot be completely negated.  If you develop infection, you may need removal of your joint replacement, a period on antibiotics and revision surgery.  This is a lengthy and arduous process and the final outcome suffers. Occasionally an infection seeds in a replaced joint through the blood stream.  If you are having dental work you should inform your dentist that you have a joint replacement as they may cover the period with anitbiotics.

- Stiffness (10%).  Range of motion is rarely completely normal after joint replacement. The aim is for you to be able to raise your arm to, or above shoulder height, but sometimes this is not achieved. Inwards and/or outwards rotation of your shoulder may remain quite restricted.

- Instability (1-2%). Your joint replacement relies on implant positioning, soft tissue balance and muscle forces for stability. If the soft tissues become deficient, or there is a problem with your implant position, then your shoulder may become unstable.  If this is recurrent, this may require revision surgery.

- Pain (5-10%).  The vast majority of patients enjoy significant pain relief with shoulder replacement, but some patients experience niggling pain on certain movements and, occasionally, more constant pain in their shoulder that doesn’t settle down. Investigations may be needed to explain why your shoulder is painful – occasionally there is low-grade infection, or a structural cause.

- Fracture (1%). This is rare, but can happen as your bones are prepared for replacement.  Fractures can often be treated at the same time as your replacement, but they may occasionally prevent completion of your replacement while the fracture heals. If you fall after a shoulder replacement, your bones may break around the implant.

- Nerve injury (1%). Important nerves pass close to your shoulder joint. While it is very rare for nerves to be cut, they may get stretched during your operation. The risk of nerve injury is higher if you're having revision  surgery as your anatomy can be distorted, adherent to and obscured by scar tissue. Most stretching nerve injuries recover with time, but permanent muscle weakness in the shoulder or arm could result.