skip to main content

Frozen Shoulder

(adhesive capsulitis) 

What is it?

The capsular lining of your shoulder joint is normally thin and flexible and this  allows freedom for your shoulder to move without restriction.  In frozen shoulder, this capsular lining becomes inflamed and thickened and contracts.  This results in pain and stiffness as the ball of the socket becomes entrapped by the capsule. 

 The cause of frozen shoulder is not clearly understood and nor it is understood quite how resolution to normal commonly occurs over time. 

What does it look like inside?

The image below on the left shows a keyhole (Arthroscopic) view of the inside of a normal shoulder.  The rotator interval (labelled) is an area of exposed capsule that lies between the subscapularis and long head of biceps tendons at the front of the shoulder.  You can see in this normal shoulder that this capsule in the rotator interval is thin and almost translucent.  Compare this to the right hand image.  This is the same view, but this patient has a frozen shoulder. You can see that the rotator interval is thickened, inflamed and contracted.  This contraction is affecting the capsule around the whole joint and 'incarcerating' the shoulder.

 

What are the Symptoms?

Patients typically report  pain as their first symptom.  For some this happens gradually, while for others it comes on seemingly out of the blue.  Patients usually describe an intense ache, exacerbated by movement: it is felt deep within, or at the front of their shoulder. The pain can be very severe and it often causes difficulty sleeping. There is then a pattern of increasing stiffness in all shoulder movements.

Frozen shoulder usually has three phases, which generally progress over a two-year period:

  1. Painful freezing 
  2. Frozen (not normally so painful, but stiff)
  3. Thawing – gradual resolution of all or most of range. 

 

Who gets it?

Normally 35-65 year olds, slightly more common in women. The incidence is more common in diabetics and those with thyroid disease. Some chemotherapy regimens carry a risk of developing frozen shoulder. While for most patients there is no identifiable cause, sometimes a frozen shoulder follows an injury or a surgery to the shoulder.  This is called a 'secondary frozen shoulder'.

What non-surgical treatments are there?

Rest, activity modification, painkillers and anti-inflammatories are obvious first-line treatments.  

Physiotherapy

Physiotherapy doesn’t work well on its own in frozen shoulder and aggressive physiotherapy in the early stages makes it worse.  

Physio is however essential to maximise therapeutic gains AFTER treatment 

Steroid Injection (Cortisone)

Sometimes done by your GP before referral to a surgeon. However, it is very hard to get the needle into exactly the right place without image guidance in frozen shoulder as the capsular volume is so small. There is good evidence that targeted injections (using X-ray or Ultrasound guidance) work better in frozen shoulder.

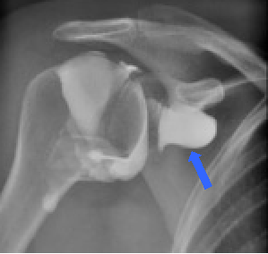
Hydrodistension (also called hydrodilation)

This is an awake, X-ray or Ultrasound-guided outpatient procedure (15 min). It is for most moderately uncomfortable, but bearable. A fine needle is guided into your shoulder. Cortisone and local anaesthetic are injected into your joint. Saline solution is then injected until your capsule ruptures, or no further distension is achieved (average 35ml total injected).  This stretches out the contracted capsule. Hydrodistension is very good at reducing pain and normally results in some improvement in range of motion. Beneficial effects are often rapidly felt (sometimes immediately) and tend to endure.    Risk of harm is very low, but up to 10% may find the procedure too uncomfortable to tolerate. This treatment is best suited to patients in the early, painful, phase of frozen shoulder.  In some series hydrodistension can be effective enough to remove the need for surgery in 70% of patients. 

 

X-ray image of hydrodistension. The x-ray dye is providing a sillhouette of the joint space and dye can be seen escaping where the capsule has ruptured - blue arrow.

Surgery for Frozen Shoulder

Surgery is Indicated if less invasive measures have failed to improve your pain or stiffness to a degree that works for you. 

Arthroscopic Capsular Release is a keyhole operation performed under general anaesthesia and regional nerve block. Your thickened and inflamed capsule at the front of your shoulder is carefully excised before your shoulder is manipulated to restore range of motion. A steroid injection is normally performed at the same time. 

 

What is my Prognosis?

Overall very good; indeed frozen shoulder was initially thought to be a wholly self-limiting condition. However, about 40% of patients who receive no treatment will have on-going stiffness and/or pain even after 2 years, although they have normally got used to it.  

Frozen shoulder may happen in the opposite shoulder at a later date, but rarely recurs in same shoulder. 

If your symptoms are bad enough to need treatment, hydrodistension and, if necessary, arthroscopic capsular release are both effective options. Sometimes, the improved motion after treatment can unmask a separate shoulder problem, such as impingement or rotator cuff disease, which  then requires treatment.