skip to main content

Calcific tendinopathy

(Calcium deposition, calcific tendinopathy) 

What is it?

Some people deposit calcium crystals within the substance of their rotator cuff tendons, normally the supraspinatus tendon. This calcium is later reabsorbed and the tendon repairs itself.  The resoprtive phase can be excruciatingly painful, often so bad that it stops patients from sleeping. 


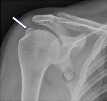
Calcium deposit in the Supraspinatus rotator cuff tendon  - white arrow

What are the Symptoms?

Patients often report a rapid onset of pain, or an exacerbation of a previously grumbling pain.  The pain is severe, often sharp, with an underlying deep ache. The pain is normally made worse by shoulder movement and it is felt felt deep within the shoulder and over the upper outer arm. It is characteristically worse at night, frequently causes difficulty sleeping.

Who gets it and what is it caused by? 

This condition tends to affect 30-60 year olds and is more common in females.  The reason why some of us deposit calcium in our tendons remains unclear - it is probably related to hormones or tendon degeneration.  Calcium crystals are deposited in the rotator cuff tendon substance: this calcium later liquefies and is reabsorbed and this is what causes the pain

What non-surgical treatments are there?

Rest, activity modification, painkillers and anti-inflammatories are the first step and you've probably tried these already.

The next option is a Subacromial (Cortisone) Steroid Injection with dry needling of the calcium deposits.  This is done with you awake as an ultrasound-guided procedure (takes approximately10 min). A needle is passed in and out of the deposit to try to decompress the calcified cavity.  Cortisone is injected into the inflamed overlying bursal space. This procedure has a 70% success at 6 months, and often gives rapid relief.  There is very low risk of harm and the procedure is moderately uncomfortable.  

Mr Granville-Chapman does not perform shock wave for Calcific tendinopathy, as the evidence suggests this is inferior to needling and injection: (Kim YS et al JSES 2014)

Surgery for calcific tendinopathy

Surgery is indicated if needling and injection has failed to improve you pain.  It is done as a keyhole technique under general anaesthesia +/- regional nerve block.  After a standard arthroscopy of your joint, your subacromial space is entered and cleared of inflamed bursal tissue.  This allows visualization of your rotator cuff tendons and identification of your calcium deposit. Once found, this deposit is de-roofed to allow the calcium to escape form the tendon.  Often a decompression is performed at the sam time if there are signs of impingement. 

Arthroscopic excision of calcium. Deposit identified within tendon substance of supraspinatus. 'toothpaste' or chalk-like calcified deposits excised from within tendon

What is my recovery?

You will normally go home the same day.  Please begin taking painkillers straight away.  You can remove bulky padding at 3 days, but leave your tiny wounds covered for 12 days. You may shower with dressings on after 4 days. Your sling can be discarded after a few days.  Try to begin your rehabilitation shoulder as soon as you are able - the physiotherapist will advise you in this regard. 

Patients vary in their recovery.  The following timelines are for guidance only.

Driving – You must be confident and competent to handle a steering wheel for routine and emergency manoeuvres.  This will take 4-6 weeks for most

Office work  - 2 weeks, but you may still be sore at this point

Light manual work  - 4-8 weeks

Heavy manual work - 8-12 weeks

What is my Prognosis?

Overall very good.  This is generally a self-limiting condition. For those with severe symptoms, dry needling and cortisone injection is 70% effective.  For those who go on to require an operation, over 80% are happy, but like a subacromial decompression, it can take several months to recover fully. 

If you have developed stiffness or motion problems in the shoulder due to your calcific tendinopathy, physiotherapy may be needed after treatment

What can go Wrong?

Shoulder arthroscopic surgery is very safe, but specific risks related to calcium excision include:

Rotator cuff tendon injury - the calcium deposits lie within your tendon.  The tendon has to be opened from the top to excavate the calcium.  If the deposit is very deep, this could potentially cause perforation of the tendon.

Stiffness (5%) - Occasionally patients develop a stiff shoulder (frozen shoulder) after calcific tendinopathy or the surgery to treat it.  this sometimes requires treatment

Lack of benefit, failure of resolution - this is rare, but occasionally patients will still suffer with pain despite surgery.  Remember that it can take several months for your shoulder to recover fully after surgery.