skip to main content

Distal biceps repair

This surgery is performed as a day case operation under general anaesthetic.  A 3cm incision is made over the upper end of your forearm.  Your biceps tuberosity of the radius, where the tendon pulled off from, is carefully exposed and your avulsed tendon is retrieved from your arm.  It is then reinserted into a small bone socket that is drilled in your radius bone at the tuberosity.  The tendon is fixed using sutures tied to a titanium button that is flipped on the far side of the radius to hold the tendon in its socket.  A PEEK (special surgical plastic) interference screw is usually inserted as an extra security.  The wound is thoroughly washed out, infiltrated with local anaesthetic and closed.

Sometimes, if your torn tendon has retracted a long way up your arm, a second incision is needed to fetch teh tendon and bring it down to the radius. 

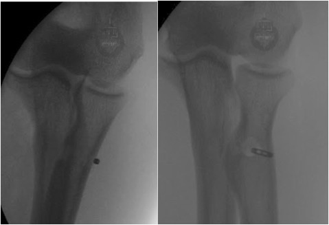
These images show Intra-operative x-rays of the deployed biceps button with the tendon docked in the radial tuberosity

An video animation of the procedure can be found by copying the following link into your browser: https://www.arthrex.com/resources/animation/PCEPsiN8_0CRawFAWSQicg/distal-bicepsbutton-tension-slide-technique

How soon after injury do I need to have it fixed?

 Ideally you should have your distal biceps rupture repaired within two weeks. This is because a longer delay increases the muscle and tendon retraction and allows dense scarring to from around the ruptured tendon.  In cases of delay it is therefore sometimes impossible to bring the tendon back down to the radius.  In this case a graft needs to be used to bridge the gap (this can be either a hamstring tendon from your leg, or a donor 'allograft' tendon). Repairs of chronic tears (more than a few weeks old) also carry more risk of injury to nerves and vessels so a longer curved incision is required to provide safe visualisation of the structures. 

What is my recovery from distal biceps surgery?

You will wake up in a sling and a bulky bandage will cover your wound. You will go home the same day. You may remove your bulky dressing at 3 days, but keep your sticky dressing clean and dry for two weeks. You will be seen in two weeks and any sutures will need to be trimmed at that point.  

You can begin gentle active elbow range of motion exercises without any resistance immediately.  A good way to do this is by lying on your back and holding your arm up to the ceiling.  Then allow gravity to bend your elbow, before slowly straightening it.  You may feel tight in extension for a while – do not push this, but let it improve gradually as your muscle adapts to re-tensioning.  Please avoid any heavy load or forceful activities until 3 months after surgery.  At that point you can then begin to build up resistance and can do anything you like from 6 months.

If you have had a graft-reconstruction of a chronic tear, your recovery will be slower as the tissues will take longer to strengthen. 

What are the risks of surgery?

This is generally a safe operation and patients do very well, but there are some complications specific to repair of the distal biceps you should be aware of:

Infection:  this is rare (1-3%)

Nerve injury:

  • A  sensory nerve lies within the surgical field and this may get stretched during the surgery. It is rare for it to be cut. A numb patch over your distal forearm and wrist is therefore fairly common after this operation (up to 20% in some series), but this is normally only a temporary issue. 
  • Loss of finger and thumb extension is a rare, but more significant nerve injury.  (3% sustained temporary weakness in a published series of 280 patients after distal biceps repair). The posterior interosseous nerve is a motor nerve that lies just behind the biceps tuberosity: it may rarely get damaged by the surgery, or trapped by the button implant. Again, loss of function is normally temporary (all 9 affected patients in the same series regained full function at an average of three months). However, failure to recover is possible and further surgery may then be required to restore function . 

New bone formation (heterotopic ossification): This may sometimes be visible on x-ray, but only very occasionally will this new bone causes pressure on other structures or limit movement.  Thorough washout of any bony debris created during surgery helps reduce the risk.

Re-rupture: this is rare (2%) with modern techniques of fixation and compliance with the rehabilitation protocol.  If the tendon does not heal and you remain symptomatic, revision surgery may be indicated.


Making the right choice about the best treatment for you means getting the right information. During your consultation, please do feel free to ask Mr Granville-Chapman to explain anything that you do not fully understand, and for his advice about the pros and cons of any treatment.