skip to main content

Humeral Shaft Fracture Fixation

Your humerus can be fixed in two ways: either with a plate and screws, or with a nail.  Both can produce good rates of healing and functional return.  The choice of which implant to use will depend on your fracture pattern, your health and your functional demands. 

Plate fixation

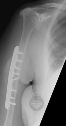
This requires an incision almost as long as the plate required to fix your fracture.  Midshaft and proximal fractures are usually approached via an anterior incision, but lower shaft fractures may need a posterior incision.  A typical image of a plated midshaft humerus fracture is shown below.

 Nail fixation

This is done via a small incision over the outer aspect of your shoulder and separate small incisions for the locking bolts. The nail is inserted through the head of your humerus.

What are the risks?

The complication rate in primary surgery is low, but specific risks include:

Infection - (approx. 2% risk).  If you do get a deep infection you may require further surgery and antibiotics.

Nerve injury- The radial nerve lies very close to the humerus and is sometimes trapped between fracture fragments. Every care is taken to protect this nerve, but it sometimes injured.  Normally the injury is stretching and it recovers.  If the nerve has been cut, then it will require repair or grafting and the recovery is less certain. 

Stiffness can follow either nail or plate fixation but this normally settles with time. It is rare to need further surgery for stiffness.

Non union is uncommon (approx. 5%).  if your bone doesn't heal you may require revision surgery. 

  

If you are having surgery for a non union, or a revision operation, the risk of complications is slightly higher.